Toxoplasmose: A culpa não é do gato - Uma Proposta de Sistema de Informação para Educação Sanitária

A toxoplasmose é uma doenças Transmitida majoritariamente por meio de alimentos


Clique abaixo e saiba mais:


O que é toxoplasmose?

É uma zoonose de distribuição mundial, que acomete seres humanos e diversos animais, sendo o gato o hospedeiro definitivo do Toxoplasma gondii, o protozoário causador da doença.

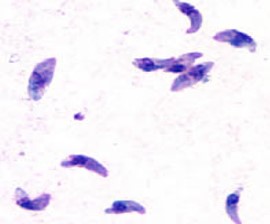
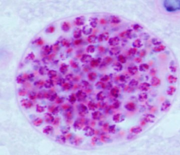
Este parasita possui 3 formas principais: bradizoítos, taquizoítos e bradizoítos

arraste ao lado para saber mais informações

Como se transmite?

A transmissão da toxoplasmose pode ocorrer de diversas formas, sendo as principais:

Sintomas

Na maioria dos casos, a toxoplasmose é assintomática em indivíduos imunocompetentes. No entanto, quando presentes, os sintomas podem incluir:

Prevenção

Para prevenir a toxoplasmose, é importante adotar as seguintes medidas:

Tratamento

O tratamento da toxoplasmose geralmente envolve o uso de medicamentos antiparasitários, como a combinação de pirimetamina e sulfadiazina, acompanhados de ácido folínico para reduzir os efeitos colaterais. Em casos graves ou em indivíduos imunocomprometidos, o tratamento pode ser mais intensivo e prolongado.

Orientações

É fundamental que mulheres grávidas e indivíduos imunocomprometidos tomem precauções adicionais para evitar a infecção por Toxoplasma gondii, devido ao risco aumentado de complicações graves. Consultar um profissional de saúde para orientações específicas é recomendado.

Interaja com o gato